Plasma Cell Granuloma Treatment

Sperm granulomas are composed of a central mass of spermatozoa some of which are degraded surrounded by radially arranged epitheloid macrophages and multinucleated giant cells granulation tissue lymphocytes and plasma cells mcdonald and scotome 1987.
Plasma cell granuloma treatment. Very few cases of primary pcg of the central nervous system are reported. They are the most common isolated primary lesion of the lung in children less than 16 years of age and usually present as circumscribed peripheral parenchymal tumors which may be. The lesion extensively involved the cranial base extended into the frontal region and reached the floor of the third ventricle in the suprasellar area. Reproductive and developmental toxicology second edition 2017.
Its occurrence in the oral cavity is rare making diagnosis and treatment really difficult as it bears some clinical similarity with malignant tumor diseases. Plasma cell granuloma is a rare benign tumor lesion that is classi fied and described under the pseudoinflammatory tumor category. Plasma cell granuloma is very rare in the oral cavity and more so on the gingiva. These lesions have no sex predilection and may occur at any age.
One of these lesions is the plasma cell granuloma and plasmacytoma of the lung. These lesions have no sex predilection and may occur at any age. Inflammatory pseudotumor plasma cell granuloma inflammatory myofibroblastic tumor is a rare benign neoplasm consisting of histiocytes myofibroblasts plasma cells and spindle shaped mesenchymal cells. Plasma cell granuloma otherwise known as an inflammatory pseudotumor is an uncommon non neoplastic lesion considered to be the result of an inflammatory condition.
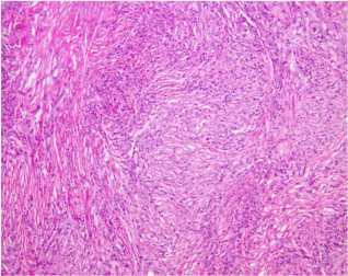
The differential diagnosis of pulmonary space occupying lesions must constantly consider primary or metastatic malignant disease. We present an unusual case of intracranial plasma cell granuloma in a 70 year old man with a 6 month history of progressive visual disturbance. A wedge resection of the left lower lobe in january 2008 revealed a mass composed of plasma cells admixed with lymphocytes histiocytes and mesenchymal cells fig. Plasma cell granuloma pcg is a rare form of idiopathic inflammatory pseudotumor characterized by a benign proliferation consisting predominantly of plasma cells and reticuloendothelial element.
The purpose of this paper is to present a case of plasma cell. Plasma cell granuloma is a rare benign tumor that affects people at all ages and most frequently involves the lung gastrointestinal tract and salivary gland.