Plasma Cell Leukemia 2017

Primary Plasma Cell Leukemia Oncology Cme

Primary Plasma Cell Leukemia Oncology Cme

Cancer Plasma Cell Article Statpearls

Cancer Plasma Cell Article Statpearls

Cureus Secondary Plasma Cell Leukemia In A Recurrent Multiple Myeloma Rare Case Scenario

Cureus Secondary Plasma Cell Leukemia In A Recurrent Multiple Myeloma Rare Case Scenario

Plasma Cell Neoplasms An Overview

Plasma Cell Neoplasms An Overview

Diagnosis For Cells Case 21 Cellavision News Blast

Diagnosis For Cells Case 21 Cellavision News Blast

Jcm Free Full Text High Risk Multiple Myeloma Integrated Clinical And Omics Approach Dissects The Neoplastic Clone And The Tumor Microenvironment Html

Jcm Free Full Text High Risk Multiple Myeloma Integrated Clinical And Omics Approach Dissects The Neoplastic Clone And The Tumor Microenvironment Html

Jcm Free Full Text High Risk Multiple Myeloma Integrated Clinical And Omics Approach Dissects The Neoplastic Clone And The Tumor Microenvironment Html

Primary plasma cell leukemia ppcl is the most aggressive form of the plasma cell pc malignancy multiple myeloma mm.

Plasma cell leukemia 2017. Primary plasma cell leukemia ppcl is the most aggressive form of the plasma cell dyscrasias. A disease involving the malignant degeneration of a subtype of white blood cells called plasma cells it is the terminal stage and most aggressive form of these dyscrasias constituting 2 to 4 of all cases of plasma cell malignancies. Similar to other forms of mm it is characterized by the expansion of malignant plasma cells within the bone marrow activity capable of resulting in end organ damage such as lytic bone. Plasma cell leukemia pcl represents the most aggressive form of multiple myeloma mm in the spectrum of clinical aggressive ness of plasma cell disorders.

Plasma cell leukemia is an uncommon variant of leukemia that may occur de novo or in association with multiple myeloma. Multiple myeloma patients with low proportion of circulating plasma cells had similar survival with primary plasma cell leukemia patients. Paul kleutghen i am a patient diagnosed in 2014 with primary plasma cell leukemia ppcl a rare and aggressive variant of multiple myeloma and have been very fortunate to find treatment at the division of cellular therapy at the duke university cancer institute. Plasma cell leukemia pcl is a rare and aggressive form of multiple myeloma that involves high levels of plasma cells circulating in the peripheral blood.

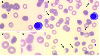
Plasma cell leukemia pcl is an aggressive form of multiple myeloma characterized by high levels of abnormal plasma cells circulating in the peripheral circulating blood. Plasma cell leukemia pcl is a plasma cell dyscrasia i e. 1 2 secondary pcl spcl however is a leukemic transformation of end stage mm. It is defined by the presence of 2 10 9 l peripheral blood plasma cells or plasmacytosis accounting for 20 of the differential white cell count and does not arise from preexisting multiple myeloma mm.

Normal plasma cells in the bone marrow produce antibodies that fight infection. It is considered the most aggressive plasma cell disorder and is characterized by a proliferation of malignant plasma cells in the blood and bone marrow plasma cell leukemia cutis is a rare clinical phenomenon with a poor prognosis. It has been commonly associated with the presence of a chromosome translocation involving the immunoglobulin heavy chain igh locus on 14q32 that is t 11 14.

Pdf Revised Diagnostic Criteria For Plasma Cell Leukemia Results Of A Mayo Clinic Study With Comparison Of Outcomes To Multiple Myeloma

Pdf Revised Diagnostic Criteria For Plasma Cell Leukemia Results Of A Mayo Clinic Study With Comparison Of Outcomes To Multiple Myeloma

Plasma Cell Neoplasms Including Multiple Myeloma Treatment Pdq Pdq Cancer Information Summaries Ncbi Bookshelf

Plasma Cell Neoplasms Including Multiple Myeloma Treatment Pdq Pdq Cancer Information Summaries Ncbi Bookshelf

Plasma Cell Leukemia Revealing A G6pd Deficiency

Plasma Cell Leukemia Revealing A G6pd Deficiency

Ohio State S Ash Review 2017 Update In Myeloma

Ohio State S Ash Review 2017 Update In Myeloma

Prognostic Indicators In Primary Plasma Cell Leukaemia A Multicentre Retrospective Study Of 117 Patients Jurczyszyn 2018 British Journal Of Haematology Wiley Online Library

Prognostic Indicators In Primary Plasma Cell Leukaemia A Multicentre Retrospective Study Of 117 Patients Jurczyszyn 2018 British Journal Of Haematology Wiley Online Library

Plasma Cell Leukemia Masquerading As Lymphoplasmacytic Lymphoma A Diagnostic Challenge Springerlink

Plasma Cell Leukemia Masquerading As Lymphoplasmacytic Lymphoma A Diagnostic Challenge Springerlink

The Utility Of Peripheral Blood Smear Review For Identifying Specimens For Flow Cytometric Immunophenotyping Craig 2017 International Journal Of Laboratory Hematology Wiley Online Library

The Utility Of Peripheral Blood Smear Review For Identifying Specimens For Flow Cytometric Immunophenotyping Craig 2017 International Journal Of Laboratory Hematology Wiley Online Library

Histopathology Images Of Plasma Cell Leukemia Primary By Pathpedia Com Pathology E Atlas Leukemia Microscopic Cells Hematology

Histopathology Images Of Plasma Cell Leukemia Primary By Pathpedia Com Pathology E Atlas Leukemia Microscopic Cells Hematology

Retrospective Review Of The Use Of High Dose Cyclophosphamide Bortezomib Doxorubicin And Dexamethasone For The Treatment Of Multiple Myeloma And Plasma Cell Leukemia Clinical Lymphoma Myeloma And Leukemia

Retrospective Review Of The Use Of High Dose Cyclophosphamide Bortezomib Doxorubicin And Dexamethasone For The Treatment Of Multiple Myeloma And Plasma Cell Leukemia Clinical Lymphoma Myeloma And Leukemia

Hairy Cell Leukemia Hcl Oncology Medbullets Step 1

Hairy Cell Leukemia Hcl Oncology Medbullets Step 1

Multiple Myeloma And Amyloidosis Staging Tufts Medical Center

Multiple Myeloma And Amyloidosis Staging Tufts Medical Center

Jam A As A Prognostic Factor And New Therapeutic Target In Multiple Myeloma Leukemia

Jam A As A Prognostic Factor And New Therapeutic Target In Multiple Myeloma Leukemia

Diagnosing Multiple Myeloma In Primary Care Clinician Reviews

Diagnosing Multiple Myeloma In Primary Care Clinician Reviews

Incidence Characteristics And Outcome Of Solitary Plasmacytoma And Plasma Cell Leukemia Population Based Data From The Swedish Myeloma Register Nahi 2017 European Journal Of Haematology Wiley Online Library

Incidence Characteristics And Outcome Of Solitary Plasmacytoma And Plasma Cell Leukemia Population Based Data From The Swedish Myeloma Register Nahi 2017 European Journal Of Haematology Wiley Online Library

Pathology Outlines Plasma Cell Myeloma Multiple Myeloma

Pathology Outlines Plasma Cell Myeloma Multiple Myeloma

07 Plasma Cell Myeloma

07 Plasma Cell Myeloma

Multiple Myeloma Diagnosis And Treatment American Family Physician

Multiple Myeloma Diagnosis And Treatment American Family Physician

Https Camlt Org Wp Content Uploads 2017 09 Ascp Lymphocytes Camlt Sept 2017 2 Pdf

Https Camlt Org Wp Content Uploads 2017 09 Ascp Lymphocytes Camlt Sept 2017 2 Pdf

Https Encrypted Tbn0 Gstatic Com Images Q Tbn 3aand9gctsdfkxvzlzje3wixiomwgu6rwgr7 Ejrk7yha7dnhynlqkd7ow Usqp Cau

Https Encrypted Tbn0 Gstatic Com Images Q Tbn 3aand9gctsdfkxvzlzje3wixiomwgu6rwgr7 Ejrk7yha7dnhynlqkd7ow Usqp Cau

Multiple Myeloma

Multiple Myeloma

Immunophenotype Of Normal Vs Myeloma Plasma Cells Toward Antibody Panel Specifications For Mrd Detection In Multiple Myeloma Flores Montero 2016 Cytometry Part B Clinical Cytometry Wiley Online Library

Immunophenotype Of Normal Vs Myeloma Plasma Cells Toward Antibody Panel Specifications For Mrd Detection In Multiple Myeloma Flores Montero 2016 Cytometry Part B Clinical Cytometry Wiley Online Library

Diffuse Omental Cake As An Initial Presentation Of Plasma Cell Leukemia Sciencedirect

Diffuse Omental Cake As An Initial Presentation Of Plasma Cell Leukemia Sciencedirect

Pathology Outlines T Cell Prolymphocytic Leukemia

Pathology Outlines T Cell Prolymphocytic Leukemia

Engineering Protein Secreting Plasma Cells By Homology Directed Repair In Primary Human B Cells Sciencedirect

Engineering Protein Secreting Plasma Cells By Homology Directed Repair In Primary Human B Cells Sciencedirect

Demystifying The Diagnosis And Classification Of Lymphoma A Guide To The Hematopathologist S Galaxy Mdedge Hematology And Oncology

Demystifying The Diagnosis And Classification Of Lymphoma A Guide To The Hematopathologist S Galaxy Mdedge Hematology And Oncology

Serial Measurements Of Circulating Plasma Cells Before And After Induction Therapy Have An Independent Prognostic Impact In Patients With Multiple Myeloma Undergoing Upfront Autologous Transplantation Haematologica

Serial Measurements Of Circulating Plasma Cells Before And After Induction Therapy Have An Independent Prognostic Impact In Patients With Multiple Myeloma Undergoing Upfront Autologous Transplantation Haematologica

Pdf The Phenotype Of Normal Reactive And Malignant Plasma Cells Identification Of Many And Multiple Myelomas And Of New Targets For Myeloma Therapy

Pdf The Phenotype Of Normal Reactive And Malignant Plasma Cells Identification Of Many And Multiple Myelomas And Of New Targets For Myeloma Therapy

Pdf Distinguishing Hairy Cell Leukemia Variant From Hairy Cell Leukemia Development And Validation Of Diagnostic Criteria

Pdf Distinguishing Hairy Cell Leukemia Variant From Hairy Cell Leukemia Development And Validation Of Diagnostic Criteria

Pdf Multiple Myeloma In 25 Years Old Patient

Pdf Multiple Myeloma In 25 Years Old Patient

The Role Of Cxcr4 In Multiple Myeloma Cells Journey From Bone Marrow To Beyond Sciencedirect

The Role Of Cxcr4 In Multiple Myeloma Cells Journey From Bone Marrow To Beyond Sciencedirect

Age Dependent Overall Survival Of 2 907 Newly Diagnosed Danish Patients Download Scientific Diagram

Age Dependent Overall Survival Of 2 907 Newly Diagnosed Danish Patients Download Scientific Diagram

Peripheral Blood Smear Showing Plasma Cells With Hairy Projections Download Scientific Diagram

Peripheral Blood Smear Showing Plasma Cells With Hairy Projections Download Scientific Diagram

Consensus Guidelines On Plasma Cell Myeloma Minimal Residual Disease Analysis And Reporting Arroz 2016 Cytometry Part B Clinical Cytometry Wiley Online Library

Consensus Guidelines On Plasma Cell Myeloma Minimal Residual Disease Analysis And Reporting Arroz 2016 Cytometry Part B Clinical Cytometry Wiley Online Library

International Myeloma Working Group Consensus Recommendations On Imaging In Monoclonal Plasma Cell Disorders The Lancet Oncology

International Myeloma Working Group Consensus Recommendations On Imaging In Monoclonal Plasma Cell Disorders The Lancet Oncology

Primary Plasma Cell Leukemia A Case Report And Review Of The Literature Ngu 2019 Clinical Case Reports Wiley Online Library

Primary Plasma Cell Leukemia A Case Report And Review Of The Literature Ngu 2019 Clinical Case Reports Wiley Online Library

Pathology Outlines Lymphoplasmacytic Lymphoma

Pathology Outlines Lymphoplasmacytic Lymphoma

Focal Osteolytic Bone Lesions In Costal Bones The Clavicle And The Download Scientific Diagram

Focal Osteolytic Bone Lesions In Costal Bones The Clavicle And The Download Scientific Diagram

Pathology Outlines Hepatosplenic

Pathology Outlines Hepatosplenic

Pdf Crohn S Disease And Smoldering Multiple Myeloma A Case Report And Literature Review

Pdf Crohn S Disease And Smoldering Multiple Myeloma A Case Report And Literature Review

Pathology Of Plasma Cell Lesions Overview Epidemiology Clinical Features

Pathology Of Plasma Cell Lesions Overview Epidemiology Clinical Features

Pin En Mieloma Multiple

Pin En Mieloma Multiple

Abstract 2019 American Journal Of Hematology Wiley Online Library

Abstract 2019 American Journal Of Hematology Wiley Online Library

A Guideline For The Diagnosis And Management Of Polycythaemia Vera A British Society For Haematology Guideline Mcmullin 2019 British Journal Of Haematology Wiley Online Library

A Guideline For The Diagnosis And Management Of Polycythaemia Vera A British Society For Haematology Guideline Mcmullin 2019 British Journal Of Haematology Wiley Online Library

Https Encrypted Tbn0 Gstatic Com Images Q Tbn 3aand9gcqxq1qg3pg Xxoamvslcg0gogk7vglztwmlas2kpvtlefe1p9bv Usqp Cau

Https Encrypted Tbn0 Gstatic Com Images Q Tbn 3aand9gcqxq1qg3pg Xxoamvslcg0gogk7vglztwmlas2kpvtlefe1p9bv Usqp Cau

Source : pinterest.com